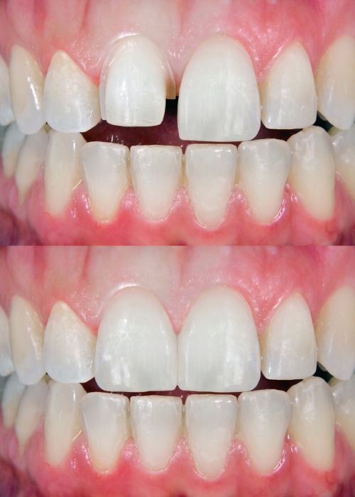
Prueba nuestras carillas dentales en Sarrià-Sant Gervasi
Desde López Arsuaga te traemos nuestro tratamiento de carillas dentales en Sarrià-Sant Gervasi, ideal para poder darle el acabo perfecto a tu sonrisa sin necesidad de pasar por ningún procedimiento quirúrgico, ya que se tratan de finas láminas hechas de materiales como la porcelana o composite que quedan adheridos a la parte frontal del diente para poder enmascarar problemas estéticos y poder mejorar la imagen externa de la dentadura debido a que permiten modificar a nivel visual la forma, brillo, color y enmascarar ciertas patologías bucales diversas.
Para poder colocarlas se debe realizar una ligera asperización del esmalte frontal del diente para que así se pueda permitir ka adhesión de la carilla dental.
El conjunto de carilla y diente adquiere una resistencia a la fractura por la que el diente se mantiene totalmente intacto, por ello es considerado un estético del esmalte dental.
Si quieres saber más al respecto, llámanos o ponte en contacto con nosotros, estaremos encantados de poder ayudarte.

Las carillas dentales son un tratamiento muy versátil que ofrece gran variedad de beneficios, pero hemos de identificar los dos tipos que existen actualmente.

Se elaboran directamente sobre los dientes por lo que es tratamiento es más invasivo, ya que se aplica el material directamente sobre el diente y se le da la forma deseada.

Es una lámina de porcelana que queda colocada sobre la parte visible del diente y tiene como finalidad mejorar el aspecto tanto en forma como color y brillo.
Nuestro equipo está formado en técnicas de relajación y manejo de la conducta para crear un ambiente familiar y distendido,y que tu visita al dentista sea rutinaria y libre de miedos
Además, contamos con un servicio de sedación consciente en caso de que fuera necesario.